jueves 16 de mayo de 2019 - 11:45 GMT+0000
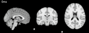
Vídeo que muestra la actividad cerebral mientras se habla.
Archivado en: